很多患者原本以為植牙是一次性治療,卻不知道忽略清潔與定期檢查,可能讓健康的植體在數年後出現鬆動、骨頭流失——這就是植體周圍炎。
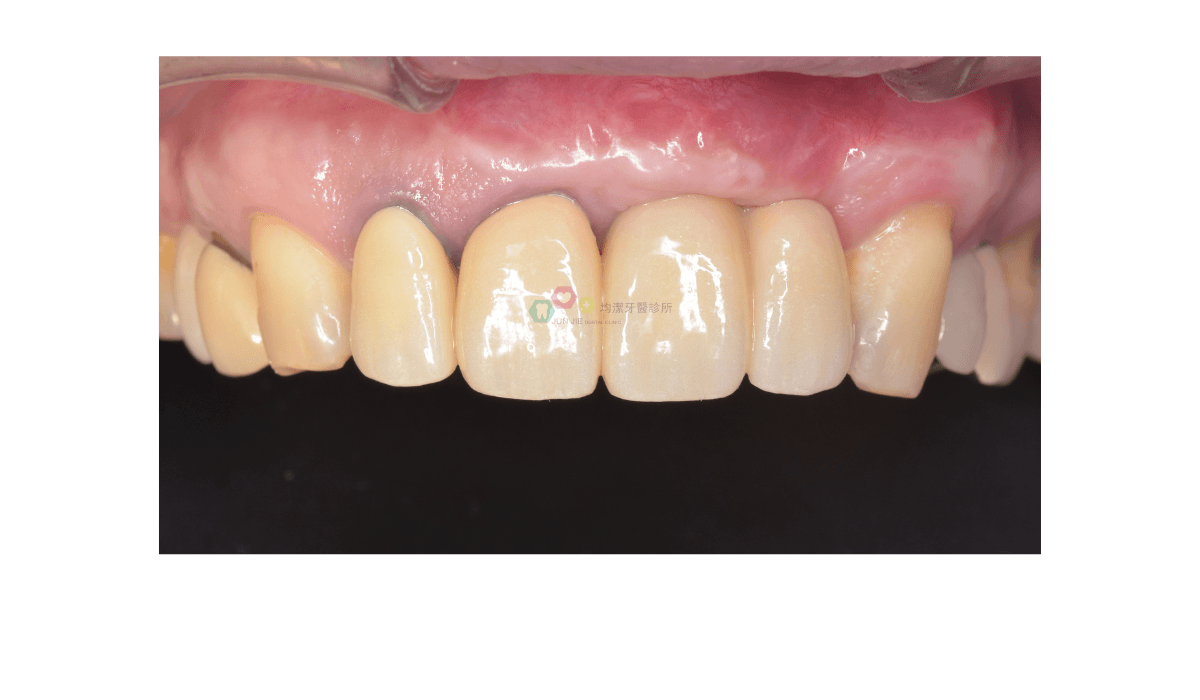
幾年前做過植牙,原本吃得好、講話也有自信,卻突然覺得牙齦腫、刷牙會流血、咬東西有點酸。
這不是蛀牙,也不是一般牙周病,而是植牙後最容易被忽略的殺手:植體周圍炎。

60多歲的張先生,是個對健康非常重視的退休老師,
五年前做了上排植牙,恢復得很好,自覺清潔也不錯,
但因為「沒感覺不舒服」,就一直沒有再回診檢查。
直到最近,他發現植牙區刷牙會流血、牙齦退縮、金屬邊緣露出。
X光一拍,驚覺骨頭已流失近三分之一——這就是典型的植體周圍炎。
這時若再拖延,植體就可能失去支撐、鬆脫報銷。
張先生聽到張醫師說「可能要重做」那一刻,滿臉錯愕,因為他一直以為植牙是「一勞永逸」。
植體周圍炎的常見症狀
- 植體周圍牙齦紅腫、容易流血
- 植體周圍流膿
- 植體周圍輕微晃動、悶痛,甚至斷裂
- 植體周圍骨頭流失
💬 初期往往無明顯疼痛,等發現時,往往已屬中重度。

均潔牙醫的治療流程:
精準診斷 × 微創清除 × 穩定修復
在均潔,我們以「重建健康環境」為核心目標。
Step 1|3D影像與探診檢測
透過3D斷層掃描與探針測量,評估骨頭吸收程度,判斷是否可保留植體。
Step 2|清除感染源
以超音波及雷射,徹底清潔植體表面與牙結石,避免細菌再入侵。
Step 3|再生修復
針對骨吸收區,視情況施行補骨或再生治療,恢復支持結構。
Step 4|穩固牙齦環境
重塑牙齦封閉性,防止細菌再度滲入,建立穩定保護層。
*依據嚴重程度也可能移除植體。

術後保養與回診
治療完成後,張先生每三個月定期回診清潔、照X光追蹤,
搭配沖牙機與牙間刷輔助清潔。
半年後,牙齦紅腫消失、骨頭穩定,植體重新恢復健康。
張先生:「原來不是植牙不好,是我自己忽略了照顧它。」

給所有植牙者的一句話
植牙不是裝上就結束,而是一場「長期維護」的旅程。
忽略清潔與檢查,就像開車不保養,終究會出問題。
🌟 牙齒的事,交給專業!
不要讓辛苦植的牙白白報銷 🙏
📍均潔牙醫 專業植牙團隊
從檢查、清潔到再生修復,完整守護您的每一顆植體。
延伸閱讀:
