
47歲的 W 先生是一名工程師,經常需要南北奔走、協調各種工地與專案。
工作忙碌的他,長期忽略口腔狀況——牙齒一顆一顆掉,他也只是忍耐著,告訴自己「還撐得住,再看看」。
直到某天,他發現已經不是「能不能吃」的問題,而是「嚴重影響生活品質」:
✔ 說話越來越含糊
✔ 進食時只能挑最軟的食物
✔ 缺牙導致臉型塌陷,看起來疲倦又憔悴
他突然意識到:「再拖下去,不只工作,整個人都要被拖垮了。」
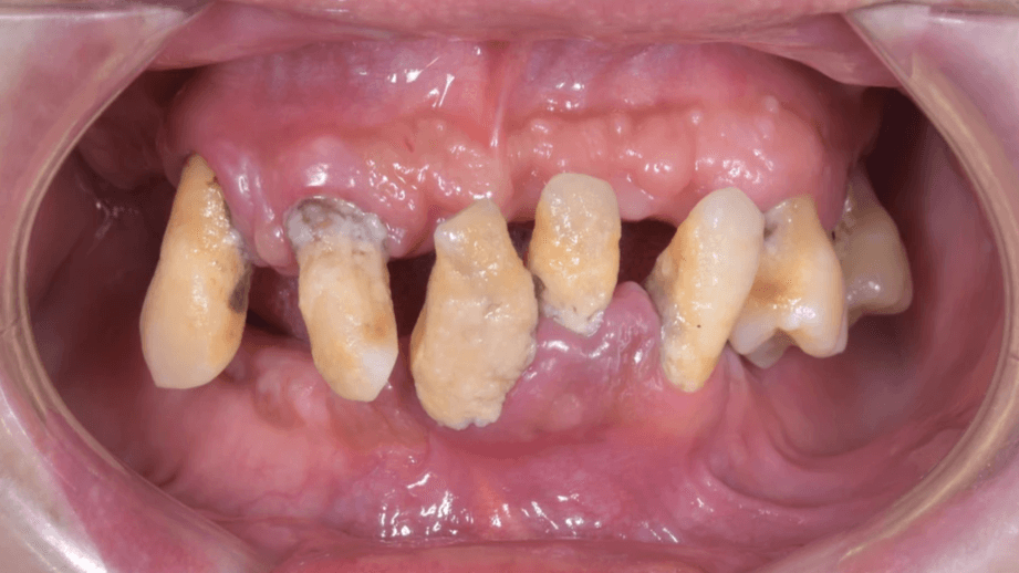
牙齒一顆顆掉下來,他選擇忍痛、不處理
牙齒一顆顆掉下來,他選擇忍痛、不處理

W 先生說,他不怕痛,但怕麻煩。
工程工作時常地點、時間都不固定,他覺得治牙需要反覆跑診所,於是選擇「能忍就忍」。
然而隨著缺牙範圍擴大,他開始遇到問題:
●
說話不清晰,開會時溝通效果變差
工程師需要頻繁溝通、協調,但缺牙讓他的發音受影響,有時候被誤會「沒講清楚」。
●
咬合功能幾乎消失
原本還能靠剩下的牙齒吃飯,後來甚至連一般食物都咬不太動。
●
臉頰逐漸凹陷,看起來比同齡人更疲憊
缺牙讓支撐變少,臉型線條明顯下滑。
某天,他咬到一塊軟的食物時,一顆牙直接斷裂,他才真正感到:
「這已經不是拖不拖的問題,是需要立刻處理。」
牙周問題 + 骨缺損:
不適合逐顆植牙,改採 All-on-4
牙周問題 + 骨缺損:
不適合逐顆植牙,改採 All-on-4
經詳細檢查後發現:
• 多顆牙齒已無法保留
• 骨頭吸收明顯
• 牙周狀況差
• 咬合已經不成形
若採逐顆植牙,療程長、恢復慢,將嚴重耽誤他的工作行程,
因此張醫師建議:👉 All-on-4 全口重建
特色在於:
• 大幅減少手術次數
• 單日即可完成植體+配戴臨時牙
• 對需要快速恢復正常生活的人非常合適
對 W 先生來說,這就是他要的「有效、迅速、穩定」方案。
工程師式「比對研究」後,他選擇了我們診所
工程師式「比對研究」後,他選擇了我們診所
身為工程師的他習慣做功課,也比對了多間診所的植牙流程、案例與設備。
最後選擇我們,是因為:
✔ 專業的口腔外科與植牙團隊
✔ 配備完善的手術環境
✔ 使用術前3D分析與導引系統,提升植牙精準度
✔ 一日重建流程完整
✔ 手術及贗復醫師合作密切,降低風險、提升穩定性
他說:「我的時間真的很寶貴,我需要的是一次到位、可長期使用的方案。」
一日 All-on-4 流程:快速、穩定、減少等待
一日 All-on-4 流程:快速、穩定、減少等待

完整流程如下:
術前評估與確認治療計畫
包含3D斷層掃描、咬合分析、骨頭條件評估等,術前充分溝通。
鎮靜麻醉,更舒適的手術體驗
手術由麻醉專科醫師全程監控,讓患者在舒適放鬆狀態下完成治療。
無菌環境進行植牙手術
張醫師依照術前規劃的角度與深度植入4支植體,穩固承載全口假牙。
當日完成臨時全口牙齒
贗復醫師協助裝戴臨時假牙,讓患者當天就能恢復進食與說話。
W 先生形容:「整個療程比想像中快,手術當天就看到一口新牙了。」
術後恢復順利,
說話、吃飯、臉型都大幅改善
術後恢復順利,
說話、吃飯、臉型都大幅改善
手術後的 W 先生:
✔ 吃東西終於不用挑軟的
✔ 開會時說話更清楚
✔ 臉型恢復支撐,看起來精神更好
✔ 自己也覺得變年輕
他說:「以前覺得牙齒能忍就忍,但這次做完我才知道,原來生活可以舒服這麼多。」
All-on-4 全口重建:讓工作、生活都重新上軌道
重新擁有穩定的咬合力後,他能正常飲食,開會溝通也更自然,不再被漏風、假牙不穩所困擾。
他現在固定回診保養,也更積極照顧自己的口腔健康。
W 先生說:
「以前只想把牙齒撐著用,但現在我覺得自己好像重啟人生。」

如果你也有全口缺牙、假牙不穩、吃東西不便的困擾,
All-on-4 是能讓你在短時間內回到正常生活的有效選擇。
需要更深入了解 All-on-4、或想知道自己是否適合?
歡迎私訊、預約評估,我們會協助你找到最適合的重建方式。
